The patients below are a selection of cases treated by Dr. O’Morain
Teens
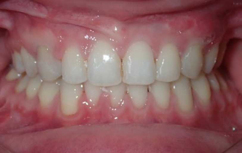
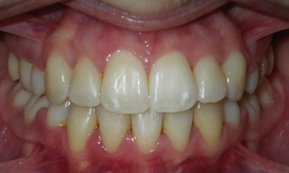
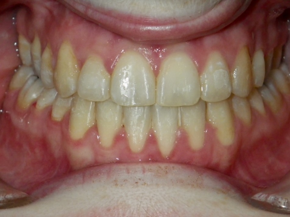
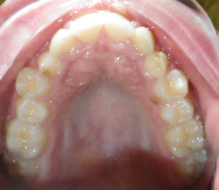
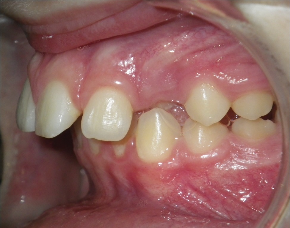
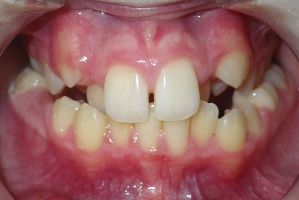
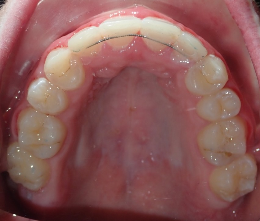
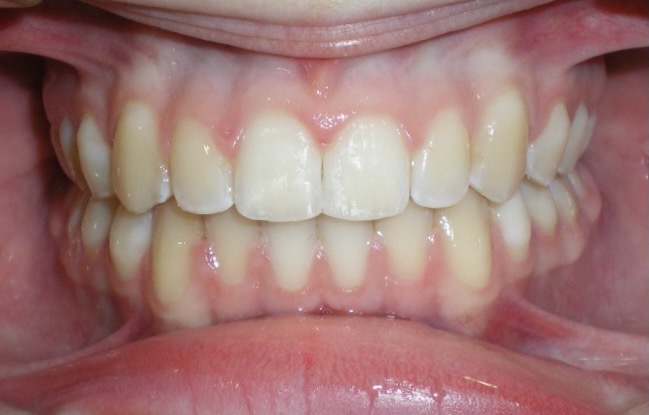
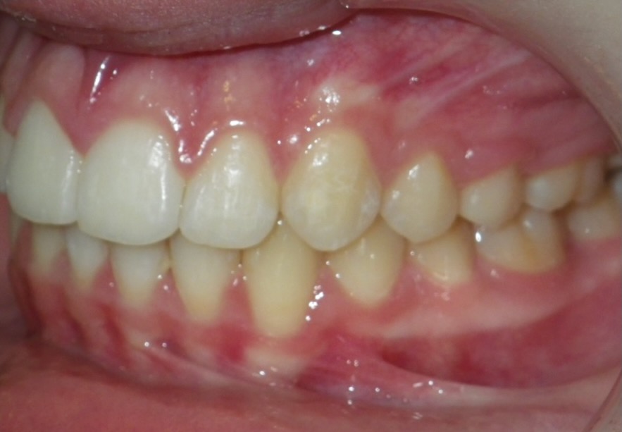
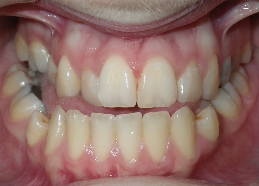
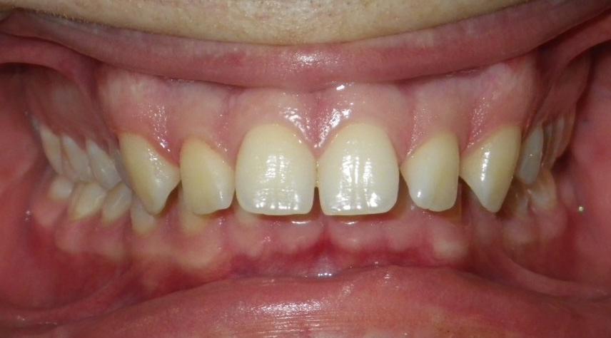
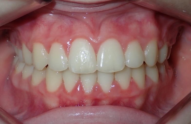
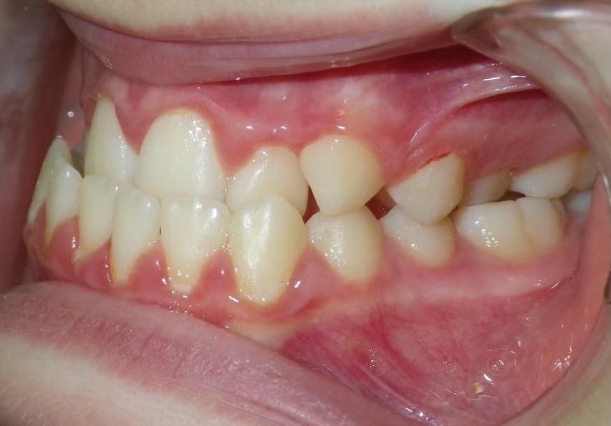
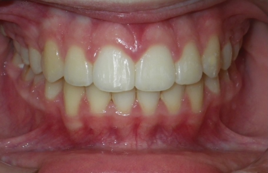
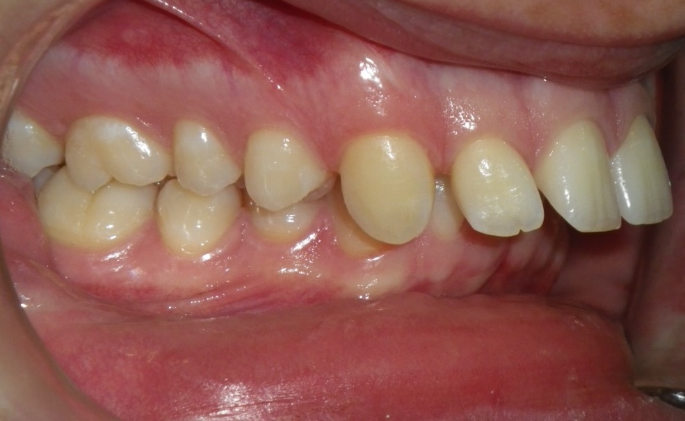
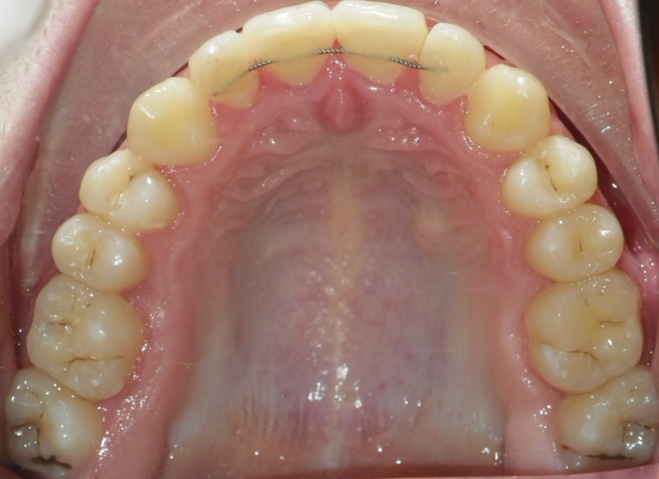
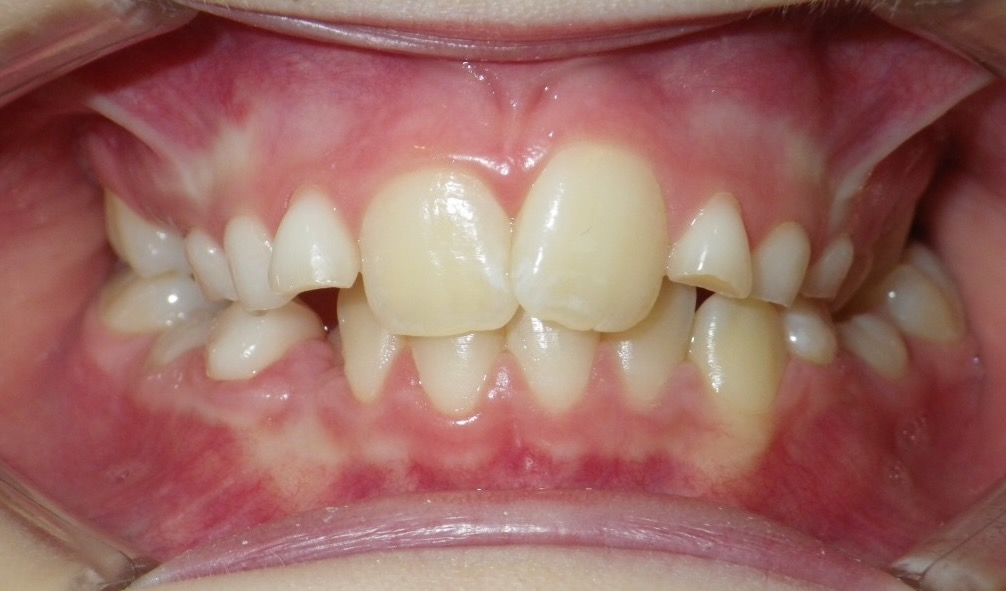
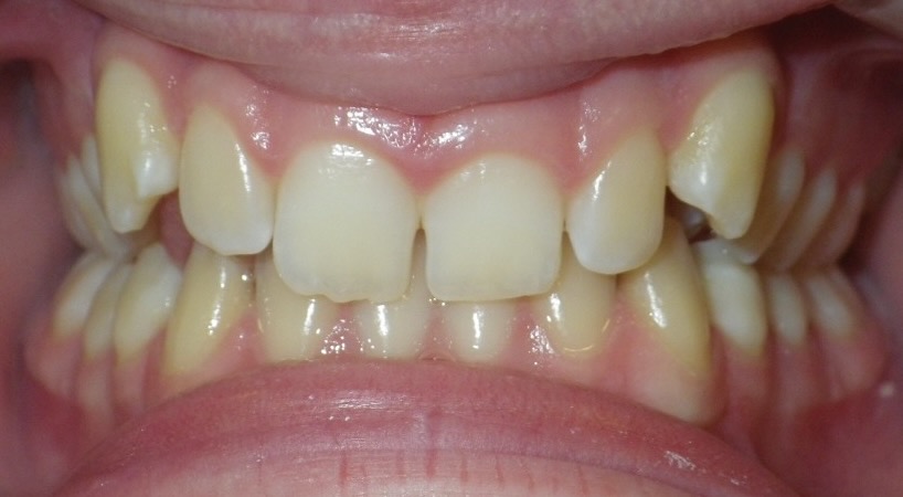
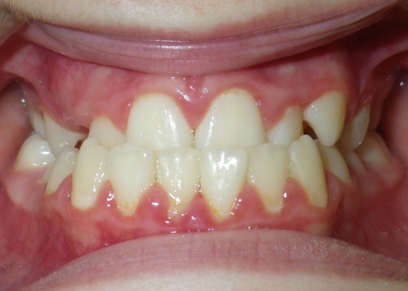
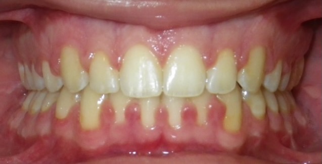
Case 1
15-year-old girl with a congenitally missing lower front tooth and severe crowding of her upper and lower teeth. Her treatment involved extracting four premolar teeth and using upper and lower fixed braces over a period of 24 months.
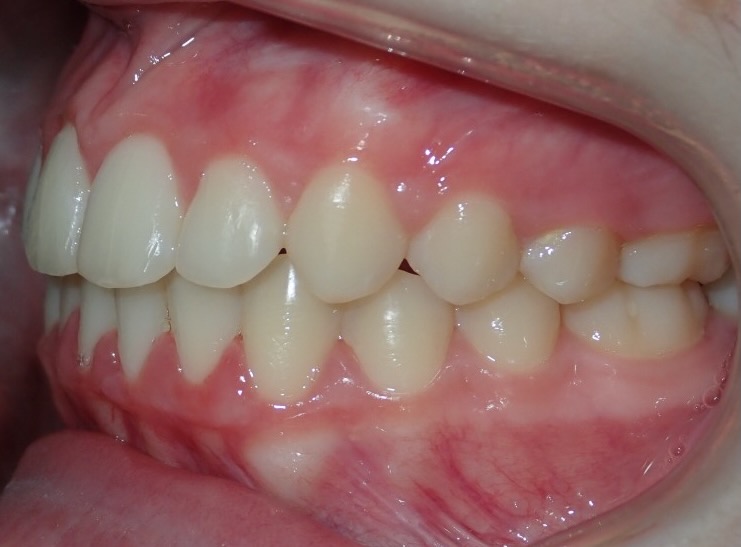
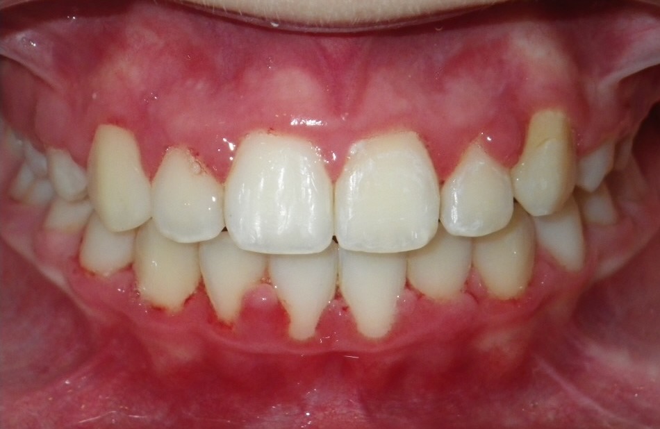
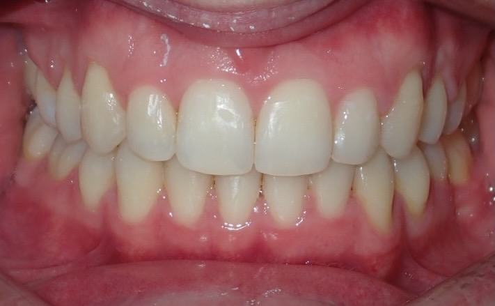
Case 2
14-year-old boy with severely impacted upper canines and was treated with the extraction of the upper canines and lower premolars. His treatment involved upper and lower fixed braces for 28 months .
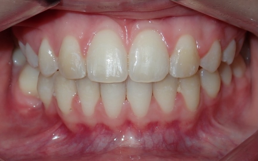
Case 3
13-year-old girl who was treated non-extraction with a functional twin-block brace, followed by fixed braces over a total period of 24 months. This treatment corrected her retrusive chin and bite.
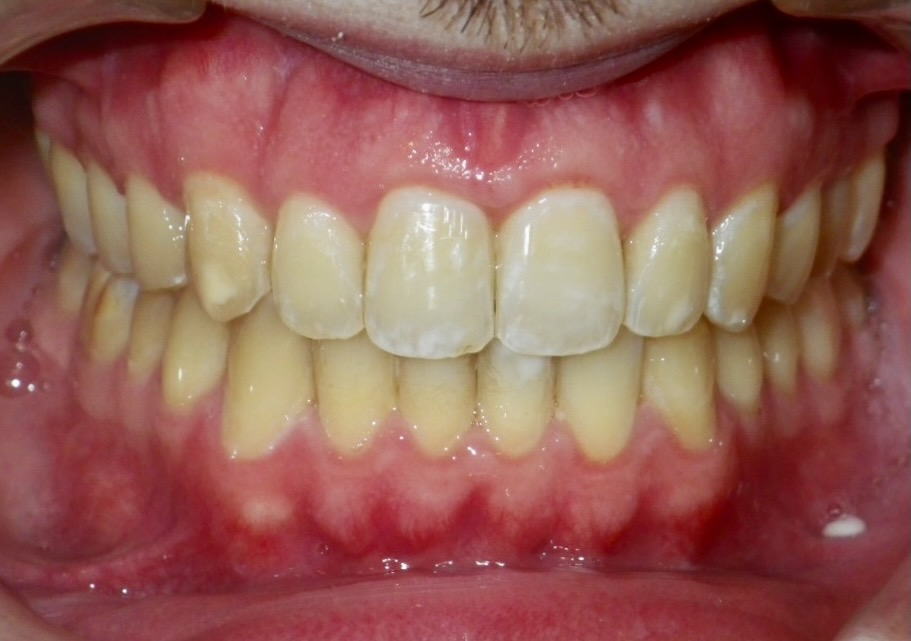
Case 4
12-year-old girl who was treated non-extraction with a functional twin-block brace, followed by full fixed upper and lower braces. This treatment corrected the protrusion of her upper teeth and aligned and straightened her impacted canines. The total treatment time was 26 months.
Case 5
POR is a 13-year-old girl who was treated with a Rapid Maxillary Expander to widen her very narrow upper arch. Following the expander, she was treated non-extraction with upper and lower fixed braces over a period of 22 months.
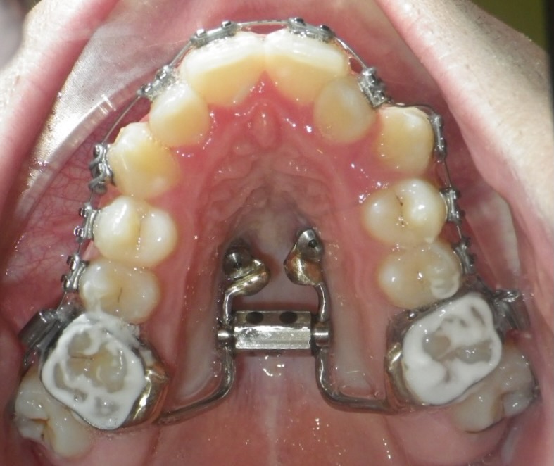
Case 6
MB is a 15-year-old boy who was treated with a mini-screw expander to widen the upper jaw and avoid surgical treatment. This was followed by the extraction of decayed first permanent molars, upper and lower fixed braces, and mini-screws to straighten his teeth and close his open bite avoiding further surgical treatment. The total treatment time was 28 months.
Case 7
17-year-old boy who was treated with a Mini Screw Expander to widen his narrow top jaw and avoid the need for a surgical procedure. This was followed by upper and lower fixed braces. The total treatment time was 22 months.
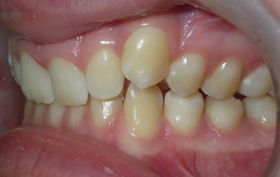
Case 8
11 year old girl treated with expansion of the top jaw and upper and lower fixed braces. The treatment aimed to bring the upper canine teeth into the lateral incisor position due to congenitally missing upper lateral incisors. The upper canines were then masked to resemble upper lateral incisors. The total treatment time was 26 months.
Case 9
8-year-old girl who was treated with a Rapid Maxillary Expander to correct a narrow upper arch and a cross-bite caused by a thumb-sucking habit. The expander was also used to help break the thumb-sucking habit. This was followed by upper and lower fixed braces in her early teens to fully align her teeth. The treatment was carried out in two phases: the first phase took approximately 6 months, and the second phase lasted 15 months.
Case 10
10-year-old girl who was treated with a Rapid Maxillary Expander and reverse-pull headgear to correct her underbite. This treatment aimed to orthopedically advance the top jaw over the bottom jaw. Following this, she had upper and lower fixed braces. The total treatment time was 26 months.
Adults
Case 11
TD is a 30-year-old man who was treated with the extraction of three premolars and a decayed first permanent molar. His treatment involved the use of white ceramic brackets, with a total treatment time of 27 months.
Case 12
EG is a 26-year-old male who was treated with upper and lower Invisalign. The treatment was non-extraction and aimed to correct upper and lower crowding, a narrow upper arch, and a reduced overbite. The total treatment time was 14 months.
Surgical Cases
Case 13
DC is a 21-year-old male who was treated with upper and lower fixed braces combined with surgical treatment to advance the lower jaw. The aim of the treatment was to reduce the protrusion of the upper front teeth and improve the appearance of the lower jaw. The total treatment time was 28 months.
Case 14
AD is an 18-year-old female who was treated with upper and lower fixed braces combined with surgical treatment on both the upper and lower jaw. The surgery aimed to set back and align a protrusive and asymmetric lower jaw, move forward a retrusive upper jaw, and correct the bite. The total treatment time was 30 months.
Case 15
EP is a 32-year-old female who was treated with upper and lower fixed braces combined with surgery on the upper and lower jaws. The aim of the surgery was to increase the amount of tooth showing while smiling and to align an asymmetric lower jaw. The total treatment time was 29 months.
Ready to
get started?
Simply book a callback using our booking form and we will call you back.


Splash